MIT

31 Posts

Deep Learning Discovers Antibiotics: Researchers used neural networks to find a new class of antibiotics.
MIT

Deep Learning Discovers Antibiotics: Researchers used neural networks to find a new class of antibiotics.

Biologists used neural networks to find a new class of antibiotics. Researchers at MIT and Harvard trained models to screen chemical compounds for those that kill methicillin-resistant Staphylococcus aureus (MRSA), the deadliest among bacteria that have...
Synthetic Data Helps Image Classification: StableRep, a method that trains vision transformers on images generated by Stable Diffusion
MIT

Synthetic Data Helps Image Classification: StableRep, a method that trains vision transformers on images generated by Stable Diffusion

Generated images can be more effective than real ones in training a vision model to classify images. Yonglong Tian, Lijie Fan, and colleagues at Google and MIT introduced StableRep, a self-supervised method that trains vision transformers on images generated by...
High-level overview of the STEGO architecture at train and prediction steps
MIT

Segmented Images, No Labeled Data: Improved unsupervised learning for semantic segmentation

Training a model to separate the objects in a picture typically requires labeled images for best results. Recent work upped the ante for training without labels.
Some results from the 2022 AI Strategy Report survey by MIT Sloan Management Review.
MIT

AI as Officemate: Workers benefit from AI-powered assistance and tools.

Many workers benefit from AI in the office without knowing it, a new study found. MIT Sloan Management Review and Boston Consulting Group surveyed employees on their use of AI in their day-to-day work. Their findings...
Model that defeats KataGo, an open source Go-playing system
MIT

Champion Model Is No Go: Adversarial AI Beats Master KataGo Algorithm

A new algorithm defeated a championship-winning Go model using moves that even a middling human player could counter. Researchers trained a model to defeat KataGo, an open source Go-playing system that has beaten top human players.
Different x-rays and CT scans displayed
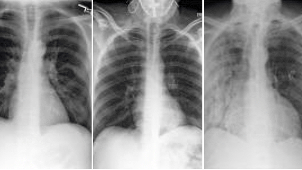
MIT

AI Sees Race in X-Rays

Researchers from Emory University, MIT, Purdue University, and other institutions found that deep learning systems trained to interpret x-rays and CT scans also were able to identify their subjects as Asian, Black, or White.
Neural networks generating novel views of a 3D scene based on existing pictures
MIT

3D Scene Synthesis for the Real World: Generating 3D scenes with radiance fields and image data

Researchers have used neural networks to generate novel views of a 3D scene based on existing pictures plus the positions and angles of the cameras that took them. In practice, though, you may not know the precise camera
A generative adversarial network (GAN)
MIT

Image Generation Transformed: New research combines GANs with transformers.

A recent generative adversarial network (GAN) produced more coherent images using modified transformers that replaced fully connected layers with convolutional layers. A new GAN achieved a similar end using transformers in their original form.
Model identifying erroneous labels in popular datasets
MIT

Labeling Errors Everywhere: Many deep learning datasets contain mislabeled data.

Key machine learning datasets are riddled with mistakes. Several benchmark datasets are shot through with incorrect labels. On average, 3.4 percent of examples in 10 commonly used datasets are mislabeled and the detrimental impact of such errors rises with model size.
Data related to a diagnostic advice received from a machine learning model vs a human expert
MIT

Would Your Doctor Take AI’s Advice?: Some doctors are skeptical of AI diagnoses.

Some doctors don’t trust a second opinion when it comes from an AI system. A team at MIT and Regensburg University investigated how physicians responded to diagnostic advice they received from a machine learning model versus a human expert.
Different data related to the phenomenon called underspecification
MIT

Facing Failure to Generalize: Why some AI models exhibit underspecification.

The same models trained on the same data may show the same performance in the lab, and yet respond very differently to data they haven’t seen before. New work finds this inconsistency to be pervasive.
Data related to a language model that predicts mutations that would enable infectious viruses
MIT

The Language of Viruses: Researchers trained a neural net to predict viruses in DNA.

A neural network learned to read the genes of viruses as though they were text. That could enable researchers to page ahead for potentially dangerous mutations. Researchers at MIT trained a language model to predict mutations that would enable infectious viruses to become even more virulent.
Information and components of a battery
MIT

Getting a Charge From AI: How battery developers are using AI

Machine learning is helping to design energy cells that charge faster and last longer. Battery developers are using ML algorithms to devise new chemicals, components, and charging techniques faster than traditional techniques allow.
Graphs and examples of Network dissection technique
MIT

What One Neuron Knows: How convolutional neural network layers recognize objects.

How does a convolutional neural network recognize a photo of a ski resort? New research shows that it bases its classification on specific neurons that recognize snow, mountains, trees, and houses.
Data and examples related to a new technique to detect portions of an image
MIT

The Telltale Artifact: A technique for detecting GAN-generated deepfakes

Deepfakes have gone mainstream, allowing celebrities to star in commercials without setting foot in a film studio. A new method helps determine whether such endorsements — and other images produced by generative adversarial networks — are authentic.
Load More

Subscribe to The Batch

Stay updated with weekly AI News and Insights delivered to your inbox