Jun 02, 2021

7 Posts

Photograph of a two-way road in the woods
Jun 02, 2021

How to Make Tough Decisions

In school, most questions have only one right answer. But elsewhere, decisions often come down to a difficult choice among imperfect options. I’d like to share with you some approaches that have helped me make such decisions.
A group of drones flying over a field
Jun 02, 2021

Deadly Drones Act Alone: Libya's military may have used AI-powered drones in 2020.

Autonomous weapons are often viewed as an alarming potential consequence of advances in AI — but they may already have been used in combat. Libyan forces unleashed armed drones capable of choosing their own targets against a breakaway rebel faction last year.
Architecture of vision-language tasks
Jun 02, 2021

One Model for Vision-Language: A general purpose AI for vision and language tasks.

Researchers have proposed task-agnostic architectures for image classification tasks and language tasks. New work proposes a single architecture for vision-language tasks.
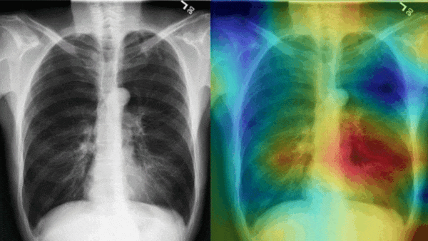
X-rays and charts about AI use in radiology
Jun 02, 2021

Radiologists Eye AI: Radiologists increasingly rely upon computer vision.

AI lately has achieved dazzling success interpreting X-rays and other medical imagery in the lab. Now it’s catching on in the clinic. Roughly one-third of U.S. radiologists use AI in some form in their work.
Animation showing Tesla car's vision system
Jun 02, 2021

Tesla All-In For Computer Vision: Tesla cut radar from its self-driving system.

Tesla is abandoning radar in favor of a self-driving system that relies entirely on cameras. The electric car maker announced it will no longer include radar sensors on Model 3 sedans and Model Y compact SUVs sold in North America.
Protein structures
Jun 02, 2021

What AI Knows About Proteins: NLP systems can be used to code amino acids.

Transformer models trained on sequences of amino acids that form proteins have had success classifying and generating viable sequences. New research shows that they also capture information about protein structure.
Photograph of a two-way road in the woods
Jun 02, 2021

The Batch: Autonomous Weapons Used in Combat, Tesla Doubles Down on Computer Vision, Transformers Decipher Proteins

In school, most questions have only one right answer. But elsewhere, decisions often come down to a difficult choice among imperfect options. I’d like to share with you some approaches that have helped me make such decisions.

Subscribe to The Batch

Stay updated with weekly AI News and Insights delivered to your inbox