Apr 13, 2022

7 Posts

AI Trends Tracked: 2023's AI trends from Stanford's AI Index
Apr 13, 2022

AI Trends Tracked: 2023's AI trends from Stanford's AI Index

Stanford’s sixth annual AI Index takes stock of a rapidly growing field. The sprawling, 386-page report from the Institute for Human-Centered AI presents the past year’s developments in AI based on a wide variety of sources including benchmarks, papers, market research, job listings, and polls.
Andrew Ng's TED Talk 2022
Apr 13, 2022

The Batch: Recognizing War Criminals in Ukraine, Salesbots Invade LinkedIn, AI Radiology Cleared for Clinics

With the pandemic easing in the United States and Canada, I’ve been traveling more in the last two weeks. I spoke at TED 2022 in Vancouver and ScaleUp:AI in New York and attended a manufacturing conference in California.
Clearview.AI search engine working
Apr 13, 2022

Seeing Through the Fog of War: How Clearview AI is Being Used in the 2022 Ukraine War

Face recognition is identifying people who have been killed, displaced, or recorded perpetrating alleged war crimes in Russia’s invasion of Ukraine. Clearview AI made its face recognition system freely available to the Ukrainian government.
AI-generated portraits
Apr 13, 2022

Your Salesbot Connection: How Marketers Use AI to Generate New Leads

Marketers are using fake social media personas — enhanced by AI-generated portraits — to expand their reach without busting their budgets.
Deep Symbolic Regression
Apr 13, 2022

From Sequences to Symbols: Transformers Extend AI's Mathematical Capabilities

Given a sequence of numbers, neural networks have proven adept at discovering a mathematical expression that generates it. New work uses transformers to extend that success to a further class of expressions.
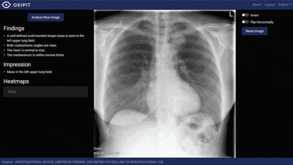
AI system recognizes normal chest x-rays
Apr 13, 2022

AI Enters the Radiology Department: ChestLink, an AI X-Ray Tool Approved by European Officials

The European Union approved for clinical use an AI system that recognizes normal chest X-rays. ChestLink is the first autonomous computer vision system to earn the European Economic Area’s CE mark for medical devices...
The Joy of Conversation (About AI and Other Things)
Apr 13, 2022

The Joy of Conversation (About AI and Other Things)

With the pandemic easing in the United States and Canada, I’ve been traveling more in the last two weeks. I spoke at TED 2022 in Vancouver and ScaleUp:AI in New York and attended a manufacturing conference in California.

Subscribe to The Batch

Stay updated with weekly AI News and Insights delivered to your inbox